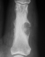
Um cisto ósseo epidermóide é uma lesão rara que ocorre quase exclusivamente nas falanges ou no crânio e se apresenta como uma lesão lítica ou um pseudotumor. Esses cistos geralmente aparecem nos pacientes, principalmente nos homens, com idades entre 25 e 50 anos. Eles são lesões benignas com evolução satisfatória após a excisão.
O cisto epidermóide é visto como uma lesão bem definida, com imagem osteolítica radiolúcida, com margem esclerótica envolvendo a falange. Estas características são bem ilustradas na mão de um adulto com cisto epidermóide nas figuras abaixo.



