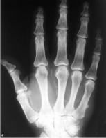
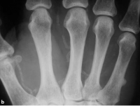
Calcificação das artérias pode ser devido a uma variedade de causas. Estes incluem o diabetes mellitus, hiperparatireoidismo, ateroma, aneurisma, intoxicação por vitamina D e síndrome de Werner. Esta alteração ocorre mais comumente nos membros inferiores. A calcificação arterial é facilmente detectado como calcificações lineares e curvilíneas nas paredes das artérias. Estas características são bem ilustradas na mão de um adulto com extensas calcificações arteriais da palma da mão e dedos nas figuras abaixo.



